Dental Implant Options - Port St. Lucie & Vero Beach, FL
Your Better
Smile Options

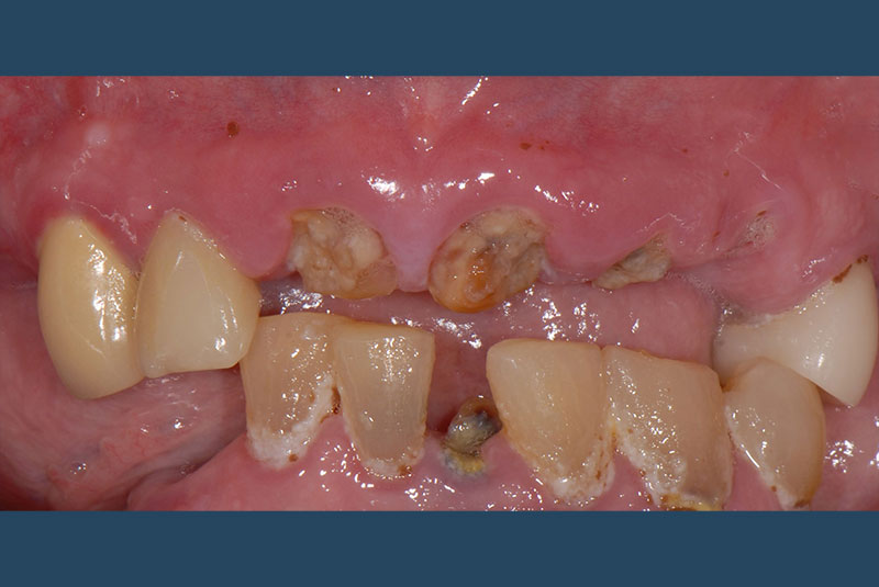
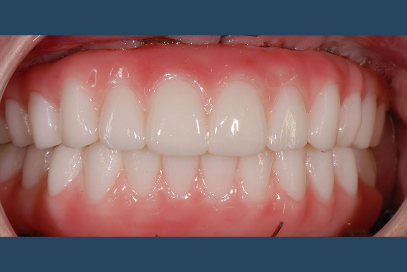
A Complete Transformation
How long has it been since you felt truly confident smiling? Ate more than a soft food diet? Didn’t feel oral pain or discomfort? Suffering from many failing or missing teeth can take both a physical and emotional toll on you. We understand how difficult it is to live every day without a completely functioning and attractive smile.
We can help put an end to your painful and discouraging symptoms with full mouth dental solutions to fit your lifestyle, smile goals, and budget! From removable dentures to fixed full mouth dental implants in Port St. Lucie or Vero Beach, FL, our prestigious team at Implants 4 All provides you with a treatment plan personalized to what you want, with an outcome that truly transforms your life by improving your function, health, and confidence.

Comparing Fixed Vs. Removable Teeth
In general, you have two options for replacing your teeth: fixed and removable. You’re aware of dentures, which is the bottom tier of tooth replacement. These artificial teeth are set on an acrylic base that fits over your gums. They return only 20% of natural function and will eventually become loose and ill-fitting as your jaw changes shape.
A functional upgrade, implant supported dentures in Port St. Lucie or Vero Beach, FL are stabilized by two or more dental implants to restore 60% of dental function. They still consist of a removable acrylic denture and may crack or fracture over time.
Full mouth dental implants consist of a fixed prosthetic bridge of teeth permanently supported by 4-to-8 dental implants. This solution restores over 98% of natural function with teeth precision-crafted to look, feel, and function like the real thing.
You can eat without limitations, enhance your quality of life, and talk, laugh, and smile confidently! We encourage you to consider all your options, then schedule a consultation to receive an evaluation and personalized treatment plan.

All-On-4® – Fixed
With All-On-4® dental implants you don’t need to place an implant for every single tooth you are missing. Implants 4 All places four implants for your top arch and four implants for your bottom arch.
Between the 8 implants in the whole mouth, your smile will be completely restored. This is the excitement behind All-On-4®.
Another great benefit of using the titanium implant is this material comes with the unique ability to fuse. The living bone in your jaw will fuse to the titanium screw, now you will never have the worries of your teeth falling out.


All-On-4® – Fixed
- Can be done in as little as one day
 - Replaces all teeth without covering the roof of mouth
 - Feels and functions as real teeth
 - Fixed into place
 - Enjoy eating/drinking your favorite foods and beverages
 - Preserves jawbone
 

Get Your Smile Back in One Day
Teeth In A Day Options – Fixed
Teeth in a Day dental implants at our multiple Florida implants centers are only possible because our dental professionals have perfected an innovative protocol for same-day placement. Partnering with leading implant manufacturers we offer “immediate load” dental implants which are specifically designed to maximize stability and support crowns and bridges right after they’ve been surgically placed.

Single Missing Tooth
We can replace a single missing tooth with the closest thing to natural teeth—a single dental implant. The dental implant post functions as the tooth root, stimulating healthy bone growth, and offering reliable function. Each implant is restored with a custom dental crown offering a seamless smile and natural-looking aesthetics. No one will know the difference!

Multiple Missing Teeth
Traditional dental bridges require you to weaken adjacent teeth to act as the foundation of your new bridge. Instead, we leave healthy teeth untouched and use one or more dental implants to support a new bridge of teeth. This is ideal for those with two or more missing teeth in a row.

Full Arch Of Missing Teeth
Dentures aren’t the only way to restore your smile. You can replace one complete arch of teeth or a full mouth of teeth with full mouth dental implants. Using four or more strategically placed dental implants, your new bridge of teeth will restore 99% function and a lasting boost to your confidence.
Our Patients Tell
The Story Best
View More Stories
Benefits of Teeth In A Day
Dental Implants
- An immediate return to proper chewing and biting power
 - Predictable and highly precise treatment process
 - Simple and easy at-home oral hygiene and maintenance care
 - Strong, aesthetic teeth for confident smiles during healing
 - Long-lasting solution for life-changing results
 

Acrylic Overdenture –
Removable And Fixed
Our implant clinicians have achieved the highest level of training in dental surgery and are considered the experts when it comes to full mouth reconstruction with dental implants.
With extensive experience and skill in surgery, in addition to medical training for emergencies, Dr. Planes is qualified to complete your full mouth treatment and provide you with superior results using proven restorations like the zirconia fixed bridge.
With a new smile from our implant doctors, you can enjoy a set of natural-looking, stable teeth that won’t chip or stain and experience an over 60% return of natural biting and chewing function. Truly the ideal choice for your missing teeth, dental implants, and a zirconia fixed bridge from our implant dentists in our multiple Florida locations can give you your life back permanently!


Benefits of Implant
Supported Dentures
- Removable or Fixed
 - Last 10+ years
 - Secured by 2+ implants
 - Limit bone recession
 - Expanded food choices
 
Get Pricing And Options For Treatment

Dr. Joshua Chupp Talks About The Top 3 Questions to Ask Your Dentist Before Getting Implants
Invest In Your Future Quality of Life
Our dental implant solutions in our multiple Florida locations provide permanent improvements in your health, function, and confidence. We consider them to be a lifelong investment in your quality of life. Even if you don’t have dental insurance, don’t assume this life-changing solution is out of your reach! We’ve partnered with select dental financing companies to help you afford treatment, no matter your financial situation.
Our financial coordinator can assist you in applying for dental financing and help you secure a personalized payment plan that fits your budget. You’ll find that the process is simple and fast. Many of our patients also receive instant approval, and sometimes without a credit check! Don’t miss out on a new life with dental implants because you’re concerned about the cost! We’re here to ensure all our patients can afford dental implants, and we welcome you to schedule your consultation or second opinion to learn more.
Find Your Personalized Pricing!
Schedule An Appointment
I understand the information disclosed in this form may be subject to re-disclosure and may no longer be protected by HIPAA privacy regulations and the HITECH Act.













